Kompletná zmena života pacienta za jeden deň

09-01-2026
nowoczesna_stomatologia

Moderná implantológia – trvalé zuby za jeden deň

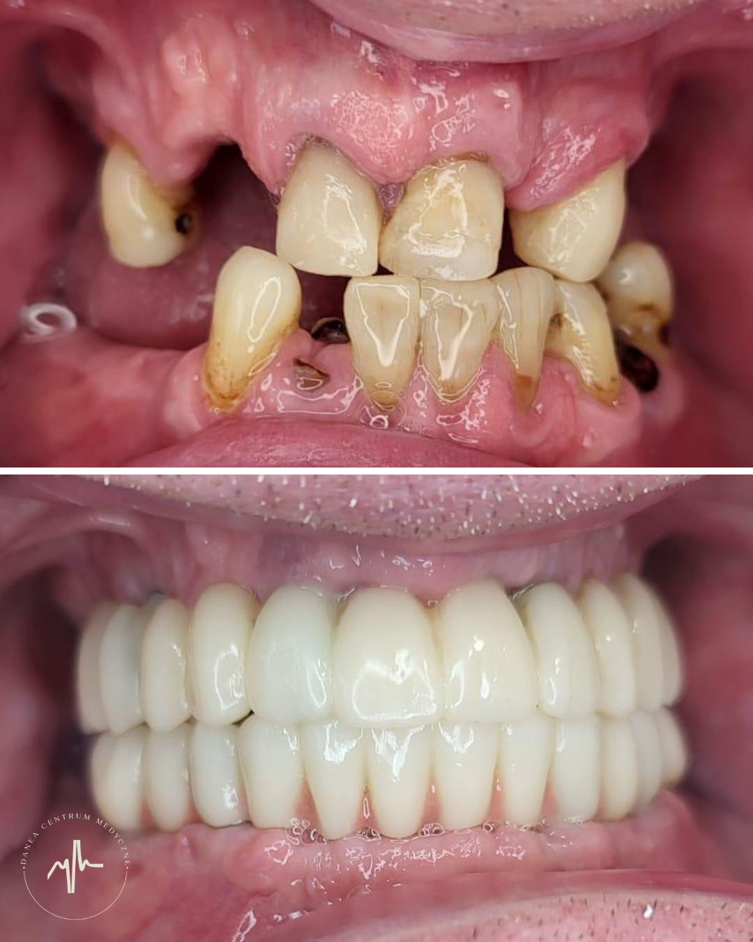
Do našej ambulancie sa dostavil pacient, ktorý začal komplexnú implantologickú a protetickú liečbu v ranných hodinách, o 8:00. Cieľom terapie bola úplná obnova chrupu a zlepšenie komfortu života pacienta.

V prvej fáze bolo vykonané odstránenie zubov, ktoré – z dôvodu pokročilých chorobných zmien – neboli vhodné na ďalšiu konzervatívnu liečbu.

Implantologická liečba v sánke – šesť implantátov

Ďalšou fázou bola obnova chrupu v sánke s použitím riešenia založeného na šiestich implantátoch. Zákrok bol vykonaný s využitím individuálne navrhnutých chirurgických šablón, ktoré umožnili presné plánovanie pozície implantátov a ich bezpečné a predvídateľné vloženie.

V sánke bolo umiestnených šesť implantátov, na ktorých bol zhotovený trvalý porcelánový most priskrutkovaný k implantátom. Toto riešenie zabezpečilo stabilitu, správnu funkciu žuvania a estetický vzhľad úsmevu.

Obnova chrupu v hornej čeľusti – štyri implantáty

V hornej čeľusti bola použitá protetická obnova založená na štyroch implantátoch. Toto riešenie bolo zvolené individuálne na základe dostupných kostných podmienok pacienta.

Obnova založená na štyroch implantátoch umožňuje účinnú a trvalú rekonštrukciu chrupu pri zachovaní primeranej stability a funkčnosti.

Dočasné zuby ešte v ten istý deň

Ešte v ten istý deň, približne o 18:00, po vykonaní extrakcií a vložení implantátov, pacient dostal dočasné protetické práce v hornej čeľusti aj v sánke. Vďaka tomu bolo možné okamžité obnovenie funkcie žuvania, reči a estetiky úsmevu.

Takéto riešenie výrazne zvyšuje komfort pacienta a umožňuje bežné fungovanie už v deň zákroku.

77420202-f46d-4574-9fbe-d61ed50be9c6
IMG_2041

Finálne protetické práce po úplnej integrácii implantátov

Po približne šesťmesačnom období, potrebnom na úplnú integráciu implantátov s kosťou, bol pacient ošetrený finálnymi protetickými prácami.

Celý liečebný proces bol založený na moderných implantologických a protetických technológiách, ako aj na presnom plánovaní, čo zabezpečilo dlhodobú stabilitu a vysokú estetiku obnovy. Použité riešenia boli tiež opísané v odbornom odbornom časopise.

Skúsenosti tímu a moderná protetika

Implantologický zákrok vykonali skúsení a vysoko kvalifikovaní špecialisti – dr. Krężnik a Elżbieta Krężnik. Protetickú časť realizovalo moderné protetické laboratórium DarDental, s ktorým máme úzku a dlhodobú spoluprácu. To umožňuje dosiahnutie presných, estetických a trvalých protetických riešení.

Viac podrobných informácií o použitých digitálnych technikách, plánovaní a type šablón používaných v modernej implanto-protetickej liečbe nájdete v článku dostupnom na nasledujúcom odkaze:

https://implantologiastomatologiczna.pl/wp-content/uploads/2025/03/Wplyw-zaawansowanych-technik-cyfrowych-na-planowanie-i-rodzaj-szablonow-stosowanych-w-nowoczesnym-leczeniu-implantoprotetycznym.pdf

« WRÓĆ
KONTAKTNÉ ÚDAJE

LOKALITA

ul. Jaworzańska 40 (Wapienica)
43-382 Bielsko-Biała

REGISTRÁCIA

+48 33 811 00 50
+48 512 457 547
SK: 0911 239 380

OTVÁRACIE HODINY

pondelok – piatok
7.00 – 20.00

PRAVIDLÁ

MAPA